Τι είναι;
Οι μυϊκές κακώσεις ή θλάσεις όπως συνήθως ονομάζονται, χωρίζονται σε αυτές που γίνονται από άμεση πλήξη και σε αυτές που γίνονται από έμμεση βία όταν ο μυς διαταθεί πέρα από το όριο αντοχής του.

Κάκωση από άμεση πλήξη
Κάκωση από διάταση
Ανάλογα με την βαρύτητα της κάκωσης χωρίζονται σε 3 βαθμούς.
1ου βαθμού χαρακτηρίζεται η κάκωση που έχει απλή διάταση έως και ρήξη λίγων μυϊκών ινών.
2ου βαθμού η μερική ρήξη του μυός και
3ου βαθμού η πλήρης ρήξη του μυός.
[/fusion_text]
Ποια είναι τα κύρια αίτια των μυικών κακώσεων;
Οι μυικές θλάσεις συμβαίνουν συχνότερα στους μύες εκείνους που εκτείνονται πέρα από δύο αρθρώσεις όπως είναι οι οπίσθιοι μηριαίοι, η ορθή κεφαλή του τετρακεφάλου, ο γαστροκνήμιος και δικέφαλος βραχιόνιος.
Προδιαθεσικοί παράγοντες είναι:
• προηγούμενη μυϊκή θλάση
• μυϊκή ανισσοροπία
• μυϊκή κόπωση
• μη επαρκής ανάπαυση
• μυϊκή αδυναμία
• ανεπαρκής προθέρμανση
• ακατάλληλος εξοπλισμός (π.χ. υποδήματα)
Πως γίνεται η διάγνωση;
Η διάγνωση γίνεται συνήθως από το ιστορικό και την κλινική εξέταση. Επικουρικά μπορεί να επιβεβαιωθεί, ιδίως η 2ου και 3ου βαθμού με υπερηχογράφημα ή μαγνητική τομογραφία. Η ακτινογραφία μπορεί να βοηθήσει στον αποκλεισμό αποσπαστικού κατάγματος στην έκφυση του τένοντα από το οστό.
Ποια η κατάλληλη θεραπεία;
Η συνήθης αρχική αντιμετώπιση περιλαμβάνει:
• ανάπαυση,
• παγοθεραπεία,
• επίδεση και
• ανύψωση του σκέλους προκειμένου να περιοριστούν τα συμπτώματα, το αιμάτωμα και η φλεγμονή.
Μπορεί επίσης να χρησιμοποιηθούν φυσικοθεραπευτικά μέσα στα αρχικά στάδια και πρόγραμμα αποκατάστασης στην συνέχεια με διατάσεις, ασκήσεις ενδυνάμωσης και ασκήσεις εξειδικευμένες για το κάθε άθλημα προκειμένου να μπορέσει ο αθλητής να επανέλθει στο ίδιο επίπεδο αθλητικής δραστηριότητας με πριν.
Επίσης θα πρέπει να εντοπιστούν και να διορθωθούν τυχόν προδιαθεσικοί παράγοντες που οδήγησαν στον τραυματισμό αρχικά.
Η χρήση νεώτερων βιολογικών τεχνικών όπως το Πλάσμα Πλούσιο σε Αιμοπετάλια (PRP) έχει θέση κυρίως σε χρόνιες καταστάσεις και ιδίως όταν αφορούν το μυοτενόντιο ή το τενόντιο τμήμα του μυός.
Ανατομία
Οι σύνδεσμοι είναι παχύνσεις συνδετικού ιστού που αποτελούνται από κολλαγόνο ιστό και οι οποίες συνδέουν τα οστά μεταξύ τους στις αρθρώσεις. Η κύρια λειτουργία τους είναι η σταθεροποίηση των αρθρώσεων αλλά επίσης παίζουν σημαντικό ρόλο στην ιδιοδεκτικότητα δηλαδή στην ακούσια αντίληψη του μέλους στον χώρο.
Μηχανισμός Κάκωσης
Συνήθως ο μηχανισμός κάκωσης είναι από αιφνίδια υπερφόρτιση, όπου ο σύνδεσμος διατείνεται όταν η άρθρωση έρχεται σε ακραία θέση, αυτό που ονομάζει ο κόσμος διάστρεμμα.
Οι συνδεσμικές κακώσεις χωρίζονται ανάλογα με την βαρύτητα σε:
1ου βαθμού Απλή διάταση
2ου βαθμού Μερική ρήξη
3ου Βαθμού Πλήρης ρήξη

Συχνότερα οι συνδεσμικές κακώσεις συμβαίνουν:
Στο Γόνατο
• Κάκωση ή Ρήξη του Πρόσθιου Χαστού Συνδέσμου
• Κάκωση ή Ρήξη του Οπίσθιου Χιαστού Συνδέσμου
• Κάκωση ή Ρήξη ενός Πλάγιου Συνδέσμου
• Συνδιασμός κακώσεων ή Ρήξεων περισσοτέρων του ενός συνδέσμων.
Και στην Ποδοκνημική- αστράγαλο γνωστά και ως Διαστρέμματα Ποδοκνημικής
και μπορεί να αφορούν:
• Τον έσω πλάγιο (Δελτοειδή) συνδέσμο
• Τον έξω πλάγιο σύνδεσμο.
• Τον πρόσθιο κνημοπερανιαίο σύνδεσμο
• Την κνημοπερονιαία συνδέσμωση
• Συνδιασμός των ανωτέρω
Συμπτώματα
Τα κύρια συμπτώματα είναι ο πόνος και το οίδημα, τα οποία συνήθως είναι ανάλογα της βλάβης που έχουν υποστεί οι σύνδεσμοι και μπορεί να υπάρχει δυσχέρεια στην βάδιση. Αστάθεια στην άρθρωση μπορεί να υπάρχει σε πλήρη ρήξη των συνδέσμων και γίνεται συνήθως αντιληπτή όταν έχουν υποχωρήσει τα οξέα συμπτώματα.
Διάγνωση
Η διάγνωση γίνεται από το ιστορικό της βλάβης και την κλινική εξέταση. Ο ασθενής παρουσιάζει ευαισθησία και οίδημα στην περιοχή του τραυματισμένου συνδέσμου. Ο έλεγχος με απλές ακτινογραφίες θα βοηθήσει στον αποκλεισμό κάποιου κατάγματος.
Στις περιπτώσεις εκείνες στις οποίες υπάρχει υποψία σοβαρής βλάβης- εκτεταμένης ρήξης ή υποψία ρήξης του αρθρικού χόνδρου ή άλλης ενδοαρθρικής βλάβης, ο έλεγχος με μαγνητική τομογραφία, συνήθως σε δεύτερο χρόνο αφού έχουν υποχωρήσει τα οξέα συμπτώματα, θα βοηθήσει στην ακριβή διάγνωση. Αν υπάρχει πλήρης ρήξη των συνδέσμων μπορεί να δημιουργηθεί αστάθεια στην άρθρωση με αποτέλεσμα να προκληθούν σοβαρότερες βλάβες στον αρθρικό χόνδρο.
Θεραπεία
Συντηρητική Αντιμετώπιση
Τις πρώτες ώρες και μέρες μετά τον τραυματισμό η αντιμετώπιση επικεντρώνεται στην ανακούφιση από τα συμπτώματα και τον περιορισμό όσο είναι δυνατόν του οιδήματος.
1. Παγοθεραπεία 3-4 φορές την ημέρα για 15-20 λεπτά
2. Ανάρροπη θέση του σκέλους
3. Επίδεση με ελαστικό επίδεσμο
4. Ανάπαυση ανάλογα με τα συμπτώματα. Σε έντονο πόνο και δυσχέρεια στην βάδιση, μπορεί να χρειαστεί μερική αποφόρτιση με βακτηρίες.
Ανάλογα με την βαρύτητα της κάκωσης μπορεί να χρειαστούν 3- 6 εβδομάδες μέχρι να υποχωρήσουν τα συμπτώματα.
Οι συνδεσμικές κακώσεις 2ου και 3ου βαθμού, μπορεί να χρειαστεί αυστηρότερη ακινητοποίηση προκειμένου να επουλωθούν οι τραυματισμένοι σύνδεσμοι.
Βιολογικές Θεραπείες
Η χρήση νεώτερων βιολογικών θεραπειών όπως το Πλάσμα Πλούσιο σε Αιμοπετάλια (PRP) και τα Βλαστοκύτταρα, μόνες τους ή σε συνδυασμό με κάποια χειρουργική επέμβαση μπορεί να συμβάλλει στην ταχύτερη και πιο ολοκληρωμένη επούλωση των τραυματισμένων συνδέσμων για την αποφυγή υπότροπων και την πιο γρήγορη επάνοδο στις αθλητικές δραστηριότητες.
Χειρουργική Αντιμετώπιση
Ανάλογα με τον βαθμό της κάκωσης, την άρθρωση την οποία αφορά, τον σύνδεσμο ο οποίος έχει υποστεί κάκωση και την αστάθεια την οποία προκαλεί μπορεί η χειρουργική επέμβαση να είναι απαραίτητη. Ειδικά στις περιπτώσεις εκείνες στις οποίες έχει αποτύχει η συντηρητική αντιμετώπιση δημιουργώντας χρόνια αστάθεια καθώς και στις περιπτώσεις ενδοαρθρικής βλάβης έχει θέση η ελάχιστα επεμβατική χειρουργική.
Η χειρουργική αντιμετώπιση περιλαμβάνει:
• Την Αρθροσκόπηση της πάσχουσας άρθρωσης για έλεγχο τυχών ενδοαρθρικών κακώσεων και την αντιμετώπιση τους.
• Την Συρραφή ή Ανακατασκευή των ραγέντων συνδέσμων.
Αποκατάσταση
Η χειρουργική αποκατάσταση ακολουθείται απαραίτητα από εξειδικευμένο πρόγραμμα αποκατάστασης.
Η φυσικοθεραπεία και η πρώιμη κινητοποίηση θα βοηθήσουν στον περιορισμό των συμπτωμάτων στα αρχικά στάδια και στην προοδευτική επανένταξη στις δραστηριότητες με μεγαλύτερη ασφάλεια μετά την οξεία φάση. Ειδικά οι ασκήσεις ενδυνάμωσης ισορροπίας και ιδιοδεκτικότητας συμβάλλουν σημαντικά στην αποφυγή υποτροπών. Ο χρόνος πλήρους αποκατάστασης εξαρτάται από την βαρύτητα της κάκωσης και μπορεί να διαρκέσει μέχρι και μερικούς μήνες.
Ανατομία
Οι τένοντες αποτελούνται από συνδετικό ιστό και συνδέουν τους μύες με τα οστά. Η σημαντικότερη λειτουργία τους είναι να μεταφέρουν την μυϊκή ισχύ στον σκελετό συμμετέχοντας έτσι στην κίνηση αλλά και την σταθεροποίηση των αρθρώσεων.
Τενοντίτιδα- Τενοντοπάθεια
Τι είναι;
Η φλεγμονή ενός ιστού είναι η διαδικασία που χρησιμοποιεί ο οργανισμός προκειμένου να τον επουλώσει μετά από κάποιο τραυματισμό. Συνήθως συνοδεύετε από οίδημα, ερυθρότητα, θερμότητα και πόνο. Όταν η φλεγμονή αφορά έναν τένοντα ονομάζεται τενοντίτιδα.
Ως τενοντοπάθεια ονομάζουμε συνήθως τις χρόνιες εκείνες καταστάσεις που οφείλονται συνήθως σε υπέρχρηση κατά τις οποίες υπάρχει πόνος στον τένοντα αλλά λείπουν τα ευρήματα που υπάρχουν στην οξεία φλεγμονή. Στις περιπτώσεις αυτές ο τένοντας παρουσιάζει εκφυλιστικές αλλοιώσεις, με αλλαγή στην οργάνωση των ινιδίων του και μείωση στον αριθμό των κυττάρων του. Υπάρχει επίσης αυξημένη αγγειοβρίθεια και σε κάποιες περιπτώσεις τοπική νέκρωση με ή χωρίς την ύπαρξη ενδοτενόντιων απασβεστώσεων.

Πως προκαλείται;
Η τενοντίτιδα και η τενοντοπάθεια είναι συνήθως το αποτέλεσμα πολλών μικροτραυματισμών. Η απότομη αύξηση της αθλητικής δραστηριότητας καθώς και οι ανελαστικοί μύες προδιαθέτουν στην εμφάνιση της.
Ανάλογα με το άθλημα οι αθλητές είναι επιρρεπείς σε τενοντίτιδες στην περιοχή εκείνη του σώματος που υποβάλλεται σε περισσότερες καταπονήσεις. Οι αθλητές του τένις, του βόλεϊ, οι κολυμβητές θα είναι πιο ευάλωτοι σε τενοντίτιδες του ώμου και του αγκώνα ενώ οι ποδοσφαιριστές, οι δρομείς και οι χορευτές των κάτω άκρων.
Συμπτώματα
Τα συνήθη συμπτώματα περιλαμβάνουν άλγος κατά την χρήση του μέλους το οποίο επιδεινώνεται με την χρήση και οίδημα στην περιοχή του τένοντα.
Διάγνωση
Η διάγνωση γίνεται από το ιστορικό και την κλινική εξέταση. Σε χρόνιες καταστάσεις ο τένοντας παρουσιάζεται πεπαχυσμένος και παρουσιάζει ευαισθησία στην ψηλάφηση του και στις κινήσεις υπό αντίσταση. Το εύρος κίνησης της παρακείμενης άρθρωσης μπορεί να είναι περιορισμένο.
Ο έλεγχος με μαγνητική τομογραφία ή με υπερηχογράφημα θα επιβεβαιώσει την διάγνωση και θα αποκλείσει την πιθανότητα ρήξης. Στην απλή ακτινογραφία θα φανούν αν υπάρχουν οστικές αλλοιώσεις και ενδοτενόντιες ασβεστώσεις.
Θεραπεία
Η συνήθης αντιμετώπιση στην οξεία φάση περιλαμβάνει:
• Παγοθεραπεία
• Ανάπαυση
• Επίδεση
• Ανάρροπη θέση
Σε 2η φάση ακολουθεί η μυϊκή ενδυνάμωση διατατικές ασκήσεις και διόρθωση τεχνικών σφαλμάτων και ανισορροπιών στις διάφορες μυϊκές ομάδες.
Βιολογικές Θεραπείες
Σε χρόνιες περιπτώσεις όπου η φλεγμονή επιμένει και στις περιπτώσεις της τενοντοπάθειας οπου υπάρχει αλλοίωση του τένοντα, μπορεί να βοηθήσει η έγχυση επουλωτικών παραγόντων από το αίμα του ασθενούς – Πλάσμα πλούσιο σε Αιμοπετάλια (PRP) καθώς και η θεραπεία με Βλαστοκύτταρα.
Στην συνέχεια πρέπει ο ασθενής να ακολουθήσει εξειδικευμένο πρόγραμμα αποκατάστασης και ενδυνάμωσης.
Σπάνια σε περιπτώσεις ανθεκτικές στην συντηρητική αγωγή, μπορεί να εφαρμοστούν ελάχιστης επεμβατικότητας χειρουργικές τεχνικές.
Ρήξη τένοντα- μερική/ ολική
Τι είναι;
Ρήξη του τένοντα έχουμε όταν διακοπεί η συνέχεια του με αποτέλεσμα να μην μπορούν να μεταφερθούν οι δυνάμεις από τον μυ στο οστό και επομένως να μην μπορεί να σταθεροποιήσει ή να κινήσει μια άρθρωση.
[/fusion_text]
Πότε συμβαίνει;
Η ρήξη του τένοντα μπορεί να είναι οξεία – τραυματική ή αποτέλεσμα υπέρχρησης – εκφυλιστική. Οι οξείες ρήξεις είναι αποτέλεσμα τραυματισμού και συμβαίνουν όταν η δύναμη η οποία ασκείται στον τένοντα υπερβαίνει την αντοχή του. Συνήθως αυτό συμβαίνει όταν υπάρχει έκκεντρη σύσπαση του μυός, όπως συμβαίνει στον γαστροκνήμιο όταν ο δρομέας σπρώχνει κατά την εκκίνηση να φύγει από τον βατήρα.
Η ρήξη μπορεί να είναι μερική ή ολική και μπορεί να συμβεί στην μυοτενόντια συμβολή του, στην μεσότητά του ή στην πρόσφυση του στο οστό.
Οι οξείες ρήξεις συναντώνται συχνότερα σε ευκαιριακούς αθλητές ηλικίας 30 – 50 ετών, σε εκρηκτικά αθλήματα, συχνά χωρίς προηγούμενα συμπτώματα.
Προδιαθεσικοί παράγοντες
Παράγοντες που προδιαθέτουν σε εκφύλιση και ρήξη των τενόντων είναι:
• Η χρόνια τενοντίτιδα ή τενοντοπάθεια
• Αθλήματα με επαναλαμβανόμενη χρήση
• Παλαιότερος τραυματισμός
• Οι εγχύσεις κορτιζόνης (ιδίως αν γίνουν ενδοτενόντια)
• Η χρήση κάποιων αντιβιοτικών (όπως οι κινολόνες)
• Η συστηματική χρήση Στεροειδών
• Η χρόνια νεφρική ανεπάρκεια
• Η ρευματοειδής αρθρίτιδα
• Ο Σακχαρώδης διαβήτης
• Κάποια αυτοάνοσα νοσήματα
Συμπτώματα
Όταν η ρήξη είναι οξεία μπορεί κανείς να νιώσει κάτι να σπάει. Συνήθως ακολουθεί οίδημα και πόνος στην περιοχή. Επιπρόσθετα και ανάλογα με τον τένοντα που έχει υποστεί την ρήξη μπορεί να υπάρχει τοπικά εκχύμωση, αδυναμία κίνησης της άρθρωση- μέλους, αδυναμία βάδισης αν αφορά τα κάτω άκρα, και ψηλαφητά μπορεί να υπάρχει ένα κενό.
Διάγνωση
Η διάγνωση θα τεθεί από το ιστορικό και την κλινική εξέταση. Ο έλεγχος με μαγνητική τομογραφία ή υπερηχογράφημα θα επιβεβαιώσει την ρήξη και θα προσδιορίσει την ακριβή εντόπιση και έκταση της.
Θεραπεία
Η θεραπεία θα εξαρτηθεί από διάφορους παράγοντες όπως:
• Την περιοχή του σώματος
• Το μέγεθος της ρήξης
• Την ανικανότητα την οποία προκαλεί
• Την ηλικία του ασθενούς
• Το επίπεδο δραστηριότητας του
• Την χρονιότητα της ρήξης.
Συντηρητική Αντιμετώπιση
Μικρές ή ρήξεις μερικού πλάτους ή πάχους μπορεί να ανταποκριθούν καλά με την συντηρητική αντιμετώπιση.
Η συντηρητική αντιμετώπιση περιλαμβάνει:
• Ακινητοποίηση του μέλους η οποία ανάλογα με το μέρος του σώματος μπορεί να διαρκέσει 3-6 εβδομάδες
• Πρόγραμμα αποκατάστασης, με ασκήσεις εύρους κίνησης, μυϊκής ενδυνάμωσης και ιδιοδεκτικότητας.
• Βιολογικές Θεραπείες με εγχύσεις επουλωτικών παραγόντων, Πλάσμα Πλούσιο σε Αιμοπετάλια – PRP και θεραπεία με Βλαστοκύτταρα.
Χειρουργική Αντιμετώπιση
Στις περισσότερες περιπτώσεις η χειρουργική αποκατάσταση είναι η ενδεδειγμένη θεραπεία.
Η χειρουργική θεραπεία εξαρτάται από το μέρος του σώματος και συνήθως γίνεται με χειρουργική ελάχιστης επεμβατικότητας ή αρθροσκοπικές τεχνικές. Η θεραπεία περιλαμβάνει συρραφή των κολοβωμάτων του τένοντα ή επανακαθήλωση του στο οστό με ειδικά υλικά απόλυτα βιοσυμβατά.
Την χειρουργική αποκατάσταση ακολουθεί πάντα ένα εξειδικευμένο πρόγραμμα αποκατάστασης.
Ανατομία
Ο αρθρικός χόνδρος είναι ο λείος άσπρος μαλακός ιστός ο οποίος καλύπτει τις αρθρικές επιφάνειες των οστών επιτρέποντας τους να ολισθαίνουν συντελώντας στην ομαλή κίνηση αλλά και στην απορρόφηση των κραδασμών. Είναι μια ειδική μορφή χόνδρου που ονομάζεται υαλώδης χόνδρος.
Τι είναι;
Ο αρθρικός χόνδρος μπορεί να υποστεί βλάβη από κάποιο τραυματισμό ή μπορεί και να έχει μια φυσιολογική φθορά. Οι χόνδρινες βλάβες είναι συχνά συνέπεια αθλητικών που έχουν ως συνέπεια την σύνθλιψη ή και την απόσπαση ενός τμήματος του αρθρικού χόνδρου. Συχνότερα τραυματίζεται η άρθρωση του γόνατος αλλά μπορεί να αφορά οποιαδήποτε άρθρωση όπως την ποδοκνημική (αστράγαλο), το ισχίο, τον ώμο, τον αγκώνα και άλλες αρθρώσεις.

Συμπτώματα
Όταν ο χόνδρος έχει υποστεί μια βλάβη τότε παύει να υπάρχει ομαλή λειτουργία της άρθρωσης η οποία μπορεί να είναι επώδυνη, να παρουσιάζει ύδραρθρο (αυξημένο αντιδραστικό υγρό), να έχει μηχανικά ενοχλήματα όπως εμπλοκή της άρθρωσης ή κριγμό συνεπεία κάποιου ελεύθερου σώματος αλλά και να οδηγήσει σε πρώιμη αρθρίτιδα, δηλαδή σε πλήρη καταστροφή της άρθρωσης.
Διάγνωση
Η διάγνωση θα γίνει από το ιστορικό της κάκωσης την συμπτωματολογία, την κλινική εξέταση και την μαγνητική τομογραφία
Θεραπεία
Ο αρθρικός χόνδρος στερείται αιμάτωσης και για αυτό ο οργανισμός δεν μπορεί να επουλώσει μία βλάβη του με φυσιολογικό υαλώδη χόνδρο. Για το λόγο αυτό η επιστήμη έχει εξελίξει διάφορες τεχνικές προκειμένου να βοηθήσει στην πληρέστερη αποκατάσταση του χόνδρου και να καθυστερήσει την εξέλιξη μιας ενδεχόμενης αρθρίτιδας.
Οι Νέες Βιολογικές τεχνικές όπως εγχύσεις:
• Βλαστοκυττάρων (Stem Cells) ή Αυτόλογων Χονδροκυττάρων
• Πλάσματος Πλούσιου σε Αιμοπετάλια (PRP)
και οι αρθροσκοπικές τεχνικές όπως:
• μικροκατάγματα,
• μεταμόσχευση αυτόλογων χονδροκυττάρων
• μεταμόσχευση αυτόλογων οστεοχόνδρινων κυλίνδρων από άλλες μη φορτιζόμενες περιοχές
είναι μερικές από τις θεραπείες που χρησιμοποιούμε σήμερα ανάλογα με το μέγεθος και την εντόπιση της βλάβης, προκειμένου να την αποκαταστήσουμε.
Αποκατάσταση
Ένα καλό πρόγραμμα αποκατάστασης με φυσικοθεραπείες, ασκήσεις ενδυνάμωσης και ιδιοδεκτικότητας και κινησιοθεραπεία είναι απαραίτητο προκειμένου ο αθλητής να επανέλθει στις προηγούμενες δραστηριότητες του.
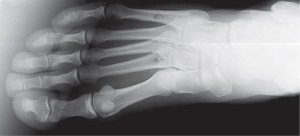
Όταν μιλάμε για κάταγμα κοπώσεως εννοούμε μία μικρή ρωγμή ή ένα οστικό οίδημα σε ένα οστό το οποίο προκαλείται συνήθως από υπέρχρηση και επαναλαμβανόμενη δραστηριότητα.
Συμβαίνει όταν οι μύες υποστούν τόσο μεγάλη κόπωση που δεν μπορούν να απορροφήσουν περαιτέρω κραδασμούς. Προοδευτικά οι εξασθενημένοι μύες μεταφέρουν την υπερφόρτωση στο οστό με αποτέλεσμα να υποστεί μια μικρή ρωγμή. Η ρωγμή αυτή ονομάζεται κάταγμα από κόπωση.

Τι το προκαλεί;
Το κάταγμα από κόπωση συχνά είναι το αποτέλεσμα της απότομης αύξησης της έντασης, της διάρκειας ή της συχνότητας μιας δραστηριότητας. Αυτό το συναντάμε σε νέους αθλητές που ξεκινάνε μια αθλητική δραστηριότητα αλλά και σε έμπειρους όταν για παράδειγμα ύστερα από μια περίοδο ξεκούρασης ανάμεσα σε αγωνιστικές περιόδους, αντί να ξεκινήσουν την προπόνηση προοδευτικά, ξεκινάνε με την ίδια διάρκεια/ένταση που είχαν σταματήσει την προηγούμενη περίοδο. Η πιθανότητα για κάταγμα από κόπωση αυξάνει επίσης σε αυτούς τους αθλητές, όταν εκτός από απότομη αύξηση δραστηριότητας δε δίνουν στο σώμα τους τον απαραίτητο χρόνο για αποκατάσταση και αγνοούν τα διάφορα ενοχλήματα που τυχόν παρουσιάζονται.
Διάφοροι άλλοι παράγοντες-όπως προπονητική τεχνική και διατροφή-μπορεί να αυξήσουν την πιθανότητα ενός κατάγματος από κόπωση.
Ενδεικτικά, αναφέρονται οι ακόλουθοι:
Λανθασμένη τεχνική
Οτιδήποτε μεταβάλλει τη μηχανική με την οποία το πόδι απορροφά τα φορτία κατά την πρόσκρουση στο έδαφος, αυξάνει την πιθανότητα ενός κατάγματος από κόπωση. Έτσι, μία τενοντίτιδα, ένας κάλος, μια φλύκταινα ή μια πληγή μπορεί να επηρεάσουν τον τρόπο φόρτισης κατά τη βάδιση ή την άθληση με αποτέλεσμα την υπερφόρτιση κάποιου οστού.
Λάθος εξοπλισμός
Η χρήση π.χ. φθαρμένων υποδημάτων ή ακατάλληλων για το συγκεκριμένο άθλημα ή για τον συγκεκριμένο αθλητή (ανάλογα με τον τρόπο φόρτισης), μπορεί να οδηγήσει σε ένα κάταγμα από κόπωση.
Αλλαγή εδάφους
Η πρόσφατη αλλαγή εδάφους άσκησης, όπως όταν ένας αθλητής του τένις αλλάζει τύπο γηπέδου από γρασίδι σε χώμα ή ένας δρομέας αλλάζει έδαφος τρεξίματος (π.χ. από διάδρομο σε άσφαλτο) μπορεί, αν δεν γίνει σταδιακά, να οδηγήσει σε ένα κάταγμα από κόπωση.
Οστική ανεπάρκεια
Τέλος, μπορεί επίσης να συμβεί σε άτομα που έχουν μειωμένη οστική πυκνότητα, όπως συμβαίνει στην οστεοπόρωση και κατά τη μακροχρόνια χρήση ορισμένων φαρμάκων ακόμα και όταν έχουν φυσιολογική καθημερινή δραστηριότητα.
Είναι τα κατάγματα κοπώσεως συχνότερα στις γυναίκες από ότι στους άντρες;
Ιατρικές μελέτες έχουν δείξει ότι οι γυναίκες αθλήτριες υπόκεινται συχνότερα σε κατάγματα κοπώσεως. Αυτό είναι πιθανόν να οφείλεται σε μια πάθηση που συναντάται στις γυναίκες αθλήτριες, γνωστή ως η «τριάδα της γυναίκας αθλήτριας» και περιλαμβάνει: διαταραχή της σίτισης (βουλιμία ή ανορεξία), αμηνόρροια και οστεοπόρωση. Η διαταραχή της σίτισης όμως δεν είναι πρόβλημα μόνο των γυναικών αθλητριών αλλά και αρκετοί άντρες φαίνεται να παρουσιάζουν όλο και περισσότερο παρόμοια προβλήματα.
Που και πότε συμβαίνουν;
Τα περισσότερα κατάγματα εκ κοπώσεως συναντώνται στα κάτω άκρα. Η κνήμη είναι το οστό που προσβάλλεται συχνότερα και ακολουθούν η περόνη, τα οστά του ταρσού, τα μετατάρσια, το μηριαίο οστό και ο ηβικός κλάδος της λεκάνης. Πρακτικά μπορεί να συμβούν σε οποιοδήποτε οστό υπόκειται σε συνεχείς επαναλαμβανόμενες φορτίσεις.
Μελέτες έχουν δείξει ότι τα περισσότερα κατάγματα εκ κοπώσεως συμβαίνουν σε αθλητές του στίβου, του τένις και της ενόργανης γυμναστικής. Σε όλα αυτά τα αθλήματα οι επαναλαμβανόμενες φορτίσεις στα κάτω άκρα μπορούν να προκαλέσουν τραυματισμό. Η ανεπαρκής ξεκούραση ανάμεσα στις προπονήσεις ή στους αγώνες προδιαθέτει σε εμφάνιση ενός τέτοιου κατάγματος.
Ποια τα συμπτώματα και πώς γίνεται η διάγνωση;
Ο πόνος κατά τη δραστηριότητα που προοδευτικά επιδεινώνεται είναι το συχνότερο σύμπτωμα και συνήθως μειώνεται με την ανάπαυση. Επίσης, μπορεί να παρουσιάζεται τοπική ευαισθησία, οίδημα ή και εκχύμωση. Είναι σημαντικό ο Ορθοπαιδικός να έχει ένα καλό ιστορικό του αθλητή και να γνωρίζει τους διάφορους παράγοντες κίνδυνου.
Οι ακτινογραφίες συχνά είναι αρνητικές τις πρώτες εβδομάδες και μπορεί να χρειαστεί αξονική τομογραφία, σπινθηρογράφημα οστών ή μαγνητική τομογραφία για να τεθεί η διάγνωση.

Αντιμετώπιση
Πρώτες βοήθειες
Ο αθλητής πρέπει να ζητήσει τη συμβουλή ενός εξειδικευμένου Ορθοπαιδικού, αν υποψιάζεται ότι μπορεί να έχει ένα κάταγμα από κόπωση. Αν το αγνοήσει, μπορεί να έχει σοβαρές επιπτώσεις: μια ρωγμή στο οστό ή ένα οστικό οίδημα μπορεί να εξελιχθεί σε πλήρες κάταγμα.
Αρχικά και μέχρι να επισκεφτεί τον Ορθοπαιδικό, συνιστάται:
• Ξεκούραση
• Παγοθεραπεία
• Επίδεση &
• Ανύψωση του σκέλους
Θεραπεία
Στόχος της θεραπείας είναι η ύφεση του πόνου και η πώρωση του κατάγματος που διαρκεί συνήθως 6-8 εβδομάδες.
Η θεραπεία εξαρτάται από την περιοχή και τη βαρύτητα του κατάγματος. Τα περισσότερα αντιμετωπίζονται συντηρητικά.
Ο πιο σημαντικός παράγοντας στη θεραπεία είναι η ξεκούραση. Ο αθλητής πρέπει να απέχει από τις δραστηριότητες που προκάλεσαν την κάκωση.
Συνήθως μπορεί να ασκείται με αθλητικές δραστηριότητες που δε φορτίζουν το μέλος, προκειμένου να διατηρήσει τη καλή φυσική του κατάσταση μέχρι την πόρωση του κατάγματος.

Σε κάποιες περιπτώσεις μπορεί να είναι απαραίτητη η χρήση βακτηριών για βάδιση χωρίς φόρτιση, ειδικών ναρθήκων ή κηδεμόνων, ακόμα και γύψου.
Σπάνια κάποια κατάγματα χρειάζονται χειρουργική αντιμετώπιση και σταθεροποίηση με εσωτερική οστεοσύνθεση.
Είναι σημαντικό ο ασθενής-αθλητής να ακολουθήσει τις οδηγίες αποθεραπείας του Ορθοπαιδικού του, προκειμένου να επιστρέψει το ταχύτατο δυνατό και με ασφάλεια στο άθλημά του. Αν ο αθλητής επανέλθει στην δραστηριότητα που του προκάλεσε το κάταγμα νωρίτερα, τότε μπορεί να προκληθεί επέκταση του κατάγματος το οποίο να καθυστερήσει πολύ να πωρωθεί ή και να μην πωρωθεί ποτέ σωστά, οδηγώντας τον σε σοβαρά προβλήματα.
Πρόληψη
Ο πιο σημαντικός παράγοντας είναι η πρόληψη.
Μερικές συμβουλές:
• Όταν κανείς ξεκινάει την ενασχόλησή του με κάποιο νέο άθλημα, πρέπει να αυξάνει προοδευτικά την ποσότητα και την ένταση της προπόνησης.
• Σωστή προθέρμανση.
• Εναλλαγή αθλημάτων (εναλλακτικοί τρόποι προπόνησης) προκειμένου να διατηρήσει την ίδια φυσική κατάσταση.
• Καλή διατροφή με επαρκή πρόσληψη ασβεστίου και βιταμίνης D.
• Χρήση κατάλληλου εξοπλισμού και υποδημάτων.
• Σε περίπτωση πόνου ή/και οιδήματος, ξεκούραση για μερικές ημέρες.
• Έγκαιρη αναζήτηση συμβουλής από τον εξειδικευμένο Ορθοπαιδικό όταν ο πόνος επιμένει.

Τι είναι οι αθλητικές κακώσεις;